Späť na diagnózy

Von Hippelova-Lindauova choroba

Find a cause you want to help. Every contribution counts.

Muž a žena šťastne volajú na svojich notebookoch srdiečka medzi nimi

Všeobecné

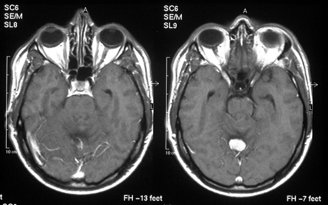
Von Hippelova-Lindauova choroba (skratkou VHL) sa radí medzi vrodené ochorenie, ktoré je spájané s viacerými tumormi v rôznorodých orgánoch. VHL - asociované tumory zahŕňajú hemangioblastómy (nádory vzniknuté zo spleti kapilár v mozgu, miechy a retiny). Tumory sietnice, retinálne angiómy vedú s úplnej strate zraku, ak nie sú liečené. Pacienti s VHL majú vyššie riziko vzniku svetlobunkového karcinómu obličiek, pankreatického neuroendokrinného tumoru (pNET), vznik feochromocytómu a tumoru nadobličiek.

Ide teda o multisystémové nádorové ochorenie s autozomálne dominantným typom dedičnosti charakterizovaný predispozíciou k vzniku malígneho alebo benígneho nádorom. Toto ochorenie je podmienené špecifickou mutáciou tumor-supresorového génu VHL, ktorý za normálnych okolností bráni vzniku tumoru. Von Hippelova-Lindauova choroba je najčastejšie diagnostikovaná u pacientov okolo 40. roku života. Mnoho týchto pacientov má prítomné cysty (sú to dutiny vyplnené tekutinou) - v obličkách, pečeni, pankrease, prítomnosť cystoadenómy (napríklad v tkanive semenníkov

Diagnostika:

Ak má lekár podozrenie na VHL mutáciu, definitívnu diagnózu stanoví pomocou genetického molekulárneho testovania. Podozrenie na VHL mutáciu majú lekári v prípade majú pacienti viaceré hemangioblastómy mozgu a miechy, retiny, alebo jeden hemangioblastóm a zároveň karcinóm obličky, pankreatické cysty, endolymfatické cysty vaku, alebo epidymálne cysty alebo iná kombinácia týchto benígnych alebo malígnych tumorov.

Liečba: 

Terapia sa riadi liečebnými protokolmi pre každý tumor zvlášť. Management by mal zahŕňať celoživotné sledovanie oftalmológom, MRI mozgu, CT brucha, laboratórne testy. Rizikoví príbuzní by mali byť zahrnutí do skríningového vyšetrenia už od detstva, aby sa zamedzilo neskorej diagnostike a vzniku metastáz nádorov. Karcinóm obličiek je najčastejšou príčinou smrti, ďalšou býva hemangioblastóm mozgu.

  • karcinóm obličky
  • karcinóm býva často silne vaskularizovaný
  • karcinómy sú zvyčajne mnohopočetné
  • niekedy sa tento tumor vyskytuje vo forme komplikovaných cýst
  • veľmi často postihuje obe obličky
  • postupne progredujú do metastatických rozsevov
  • metastatický karcinóm je príčinou úmrtia až u 50% pacientov
  • nádory nervového tkaniva, najmä mozgu a miechy
  • poruchy vedomia
  • poruchy pamäti
  • niekedy tiež poruchy koordinácie
  • zvyčajne prítomný aj tumor nadobličiek (feochromocytóm)
  • tumory pankreasu - podžalúdkovej žľazy
  • tráviace ťažkosti
  • nadúvanie
  • hnačky, zvracanie
  • zápcha
  • nádory očí
  • poruchy zorného poľa
  • postupne tiež až slepota

Pre spojenie sa s ďalšími ľuďmi s rovnakou diagnózou vo vašom okolí sa prihláste.

Prihlásenie

Chcete vidieť viac?

To access all content, you need to log in or sign up in the Socialeasator app.