Späť na diagnózy

Tay-Sachsova choroba

Find a cause you want to help. Every contribution counts.

Muž a žena šťastne volajú na svojich notebookoch srdiečka medzi nimi

Všeobecné

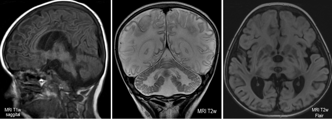
Gangliosidóza čiže Tay-Sachsova choroba, amaurotická familiárna idiocia (duševná zaostalosť), (anglicky Tay-Sachs disease, GM2 gangliosidosis alebo hexosaminidase A deficiency) je veľmi vzácna dedičná metabolická choroba, ktorej príčinou je gén na 15. chromozóme, autozomálne recesívnym typom dedičnosti. Spôsobuje nedostatočnosť enzýmu pri katabolizme (rozklade) špecifických tukov - gangliozidov. Tento tuk sa potom v detských rokoch ukladá v mozgu a bráni funkcii mozgových buniek. Tay-Sachsova choroba je fatálne ochorenie, smrť prichádza väčšinou okolo tretieho roku života. Incidencia je 1: 4000 narodených, zvýšený výskyt je zaznamenaný u aškenázskej židovskej populácie.

Liečba:

Terapia sa líši podľa typu poruchy, cieľom predchádzať ukladaniu gangliozidov a teda je potrebné zabrániť hladovaniu u dieťaťa  - pomocou častej výživy s obmedzením tukov a jednou až dvoma porciami jedla v noci. U MCAD - sa obohacuje o maltodextríny a škroby, u LCHAD - výživa s obmedzením tukov, sa obohacuje MTC olejom (ten sa nesmie ale dať u MCAD). Pri horúčkach - vyšší príjem sladených nápojov, včasné podávanie glukózy intravenózne ( "do žily"), o význame karnitínu sa vedú spory.

Typy TSD: 

Infantilná TSD: prejavuje sa od 6. mesiaca života, ochorenie je smrteľné - dožívajú sa 5 rokov. Nervové bunky sa vplyvom gangliozidov rozmnožujú, čo spomaľuje fyzický a mentálny vývoj a teda, aj ďalšie doleuvedené príznaky.

Juvenilná TSD: Prejavuje sa okolo 2 až 10 roka života, je to vzácna forma. Prejavuje sa neistou chôdzou, problémy s prehĺtaním a rečou.

Adultná TSD: Prejavuje sa okolo 20-30 rokov života. Nie je smrteľná. Sú prítomné ťažkosti s chôdzou, pacienti sú častokrát na invalidnom vozíku. Medzi ďalšie príznaky patrí spomelený vývin a psychické ťažkosti, napr. schizofrénia.

  • degenerácia mentálnych schopností (demencia)
  • degenerácia motorických (pohybových) schopností
  • typická čerešňovo-červená škvrna na sietnici oka - uložené gangliozidy
  • slepota a hluchota
  • neschopnosť prehĺtať
  • záchvaty až generalizované kŕče
  • u starších detí problémy s rozprávaním
  • neistá chôdza

Pre spojenie sa s ďalšími ľuďmi s rovnakou diagnózou vo vašom okolí sa prihláste.

Prihlásenie

Chcete vidieť viac?

To access all content, you need to log in or sign up in the Socialeasator app.