Späť na diagnózy

Pyknodysostóza

Find a cause you want to help. Every contribution counts.

Muž a žena šťastne volajú na svojich notebookoch srdiečka medzi nimi

Všeobecné

Pyknodysostóza (anglicky pyknodysostosis) vychádza z gréckeho pyknos, čo znamená hustý a ostosis, čo označuje stav kosti. Jedná sa o ochorenie kostí, ktoré je spôsobené mutáciou génu pre enzým katepsin, ktorý sa podieľa na stavbe kostného tkaniva. Choroba bola popísaná na francúzskom umelcovi Henri de Toulouse-Lautrec, ktorý ňou trpel.

Diagnostika:

Diagnostika je založená na nižšie uvedených príznakoch, no predovšetkým na genetickom vyšetrení, v ktorom nachádzame defektný gén pre enzým - katepsin. Liečba tohto ochorenia je iba symptomatická, pretože sa jedná o ochorenie genetické. Je dôležitá prevencia a minimalizovať záťaž na kosti kvôli zlomeninám spôsobené záťažou a malými traumami. Zo športových aktivít sa preto odporúča plávanie. Podávanie rastového hormónu má efekt pri odchylkách rastu.

  • nízky vzrast
  • kosť je abnormálne hustá
  • postihnuté sú koncové (distálne) články prstov
  • prsty sú krátke
  • spomalené uzavretie lebečných švov
  • hoci je kosť hustá, je veľmi krehká
  • zvýšená náchylnosť k zlomeninám
  • dominantný nos
  • malé ústa
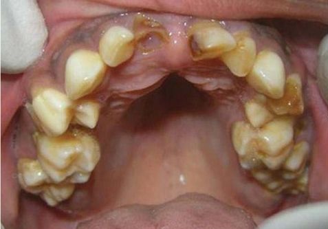
  • ťažkosti s rastom zubov, zuby sú lámavé

Pre spojenie sa s ďalšími ľuďmi s rovnakou diagnózou vo vašom okolí sa prihláste.

Prihlásenie

Chcete vidieť viac?

To access all content, you need to log in or sign up in the Socialeasator app.