Späť na diagnózy

Kartagenerov syndróm

Find a cause you want to help. Every contribution counts.

Muž a žena šťastne volajú na svojich notebookoch srdiečka medzi nimi

Všeobecné

Kartagenerov (syndróm nepohyblivých riasiniek, anglicky  Primary ciliary dyskinesia, Kartagener syndrome) je to veľmi zriedkavé vrodené ochorenie, ktoré je však pomerne zaujímavé. Celkovo sa výskyt tohto syndrómu u novorodencov pohybuje v rozmedzi asi 1: 30,000. Na 30 tisíc narodených detí sa teda narodí jedno s Kartagenerovým syndrómom, pravdepodobný je však častejší výskyt.

Diagnostika:

Choroba je spôsobená genetickou mutáciou, ktorá je vrodená. Dôsledkom genetickej mutácie je porucha bielkovín, z ktorých sa skladajú bunkové bičíky a riasinky. V našom tele síce riasinky a bičíky „vlastní“ len pomerne veľmi málo buniek, porucha ich funkcie má však veľa nepríjemných následkov. Veľké množstvo buniek s riasinkami sa nachádza v sliznici našich dýchacích ciest, prínosových dutín, stredného ucha a Eustachovej trubice.

Pohyb riasiniek má za úlohu odstraňovať rôzne nečistoty. Rovnako sa riasinky vyskytujú vo vajcovodoch žien, kde majú pri ovulácii význam pre správny transport vajíčka z vaječníkov do maternice. Aj v pohlavnom systéme muža majú riasinky význam. Veď každá spermia je vybavená jedným bičíkom, ktorý sa dá považovať za určitý podtyp riasinky. Bičíky spermií sú nevyhnutné pre ich pohyb. Prejavy choroby sú dôsledkom poruchy všetkých vyššie uvedených buniek s riasinkami a bičíkmi. Nefunkčnosti riasiniek v dýchacích cestách má za následok hromadenie hlienu a nečistôt vo všetkých častiach (etážach) dýchacích ciest. A kde sa hromadia nečistoty a sekréty, tam je živné miesto pre baktérie. Preto u chorých vznikajú časté infekcie v dýchacích cestách vrátane zápalov pľúc, zápalov prínosových dutín a zápalov stredného ucha. Vzhľadom na tieto opakované zápaly, môže dôjsť až k narušeniu schopnosti stredného ucha prevádzať zvukový signál a vyskytujú sa časté poruchy sluchu. Hlien hromadiaci sa v prieduškách spôsobuje ich vakovité rozširovanie, ktorému sa hovorí bronchiektázia. Tá potom opäť vedie k častejším zápalom pľúc. Narušenie pohlavného systému sa prejavuje neplodnosťou oboch pohlaví. Ženy majú problém s transportom vajíčka do maternice, muži majú nepohyblivé spermie.

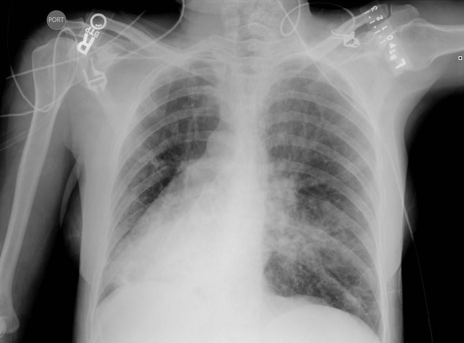
Pomerne často sa u chorých s Kartagenerovým syndrómom vyskytuje stav nazývaný po latinsky ako „situs viscerum inversus“ (obrátené umiestnenie vnútorných orgánov). Chorý s touto zvláštnosťou má srdce na pravom mieste (doslova). Pečeň a žlčník sú u takého človeka vľavo, slezina s žalúdkom naopak vpravo. Tento stav sa môže vyskytovať aj samostatne bez Kartagenerovaho syndrómu a sám o sebe veľmi často uniká pozornosti. Postihnutý človek nemáva žiadne ťažkosti (niekedy však môžu byť prítomné srdcové chyby) a celý stav sa zistí náhodne pri starostlivom vyšetrení.

Lekára môžu upozorniť opakované infekcie dýchacích ciest, vzhľadom k veľkej zriedkavosti choroby nie je však ľahké si na Kartagenerov syndróm vôbec spomenúť. Porucha riasiniek sa dá zistiť vyšetrením pod elektrónovým mikroskopom. Genetické vyšetrenia však túto poruchu ľahko nájdu.

Liečba:

Liečba genetickej poruchy nie je v súčasnosti možná, a preto sa liečia iba symptómy. Najnebezpečnejšie sú opakované infekcie dýchacích ciest, ktoré zhoršujú a skracujú život chorého. Každá takáto infekcia sa musí dôsledne preliečiť antibiotikami a chorého je vhodné očkovať proti čo najväčšiemu množstvu mikroorganizmov, ktoré tieto infekcie spôsobujú. Vzniknutú bronchiektáziu možno niekedy liečiť chirurgicky. Neplodnosť sa s určitou úspešnosťou rieši metódami umelého oplodnenia.

  • obrátené umiestnenie vnútorných orgánov
  • poruchy sluchu
  • neplodnosť
  • bronchiektáza (hlien, ktorý sa zhromažďuje v prieduškách)
  • infekcie dýchacích ciest

Pre spojenie sa s ďalšími ľuďmi s rovnakou diagnózou vo vašom okolí sa prihláste.

Prihlásenie

Chcete vidieť viac?

To access all content, you need to log in or sign up in the Socialeasator app.