Späť na diagnózy

Karoliho choroba

Find a cause you want to help. Every contribution counts.

Muž a žena šťastne volajú na svojich notebookoch srdiečka medzi nimi

Všeobecné

Karoliho choroba (anglicky Caroli disease) je zriedkavá dedičná choroba, ktorá je charakteristická dilatáciou (roztiahnutím) pečeňových žlčovodov. Karoliho ochorenie sa delí na dva typy. Prvý a častejší typ je tzv. Simplexná forma. Druhým typom je forma komplexná, ktorá je menej častá a môžeme ju v literatúre nájsť aj ako Karoliho syndróm.

Karoliho choroba sa zvyčajne vyskytuje v Ázii a je diagnostikovaný u osôb mladších ako dvadsať rokov. Prvýkrát ho opísal Jacques Caroli, gastroenterológ v Paríži v roku 1958. Príčina je pravdepodobne genetická, typický je rodinný výskyt. Ochorenie je spôsobené mutáciou génu PKHD1 a častejšie sú postihnuté ženy. Aký je však presný rozdiel v mutácii medzi komplexnou a simplexnou formou, nie je dodnes známe.

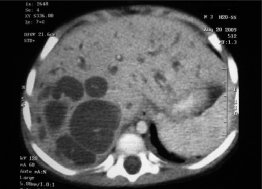
Diagnostika:

Diagnóza sa odvíja jednak na základe nižšie uvedených príznakov, ale aj na základe zobrazovacích vyšetrení, ako je ultrazvuk, CT či MR. Ďalej sa môžu robiť invazívne vyšetrenia, ako je ERCP.

Liečba:

Liečba je závislá na klinickom obraze a umiestnenie žlčových abnormalít. Antibiotiká sa používajú na liečbu zápalu žlčových ciest. Ďalej je možné použiť kyselinu ursodeoxycholovú (ursosan) pri náleze kameňov v žlčových cestách, ktoré zlepšujú odtok žlče zo žlčových ciest. Pri infekčných zápaloch žlčníka sa podávajú antibiotiká. Je potrebné sledovanie pacienta za účelom možných komplikácii, ktoré treba zavčasu podchytiť, a liečiť štandardnými postupmi. Pri pokročilej cirhóze pečene sa zvažuje transplantácia pečene.

  • <p><strong>1. simplexný typ</strong></p>
  • je spojený s ektáziou žlčovodov (rozšírenie žlčových ciest)
  • zápaly žlčových ciest, žlčníka, porucha odtoku žlče a s tým spojená žltačka<p><strong>2. komplexný typ </strong></p>
  • horúčka
  • zápaly žlčových ciest, žlčníka, porucha odtoku žlče a s tým spojená žltačka, zväčšená pečeň 
  • spojený s portálnou hypertenziou a vrodenou fibrózou pečene, v pokročilejších štádiách aj cirhóza pečene a možný prechod do karcinómu žlčových ciest
  • spojený so zlyhaním pečene a polycystickou chorobou obličiek
  • bolesti brucha
  • hepatomegália (zväčšenie pečene)
  • niekedy žltačka

Pre spojenie sa s ďalšími ľuďmi s rovnakou diagnózou vo vašom okolí sa prihláste.

Prihlásenie

Chcete vidieť viac?

To access all content, you need to log in or sign up in the Socialeasator app.