Späť na diagnózy

Gaucherova choroba

Find a cause you want to help. Every contribution counts.

Muž a žena šťastne volajú na svojich notebookoch srdiečka medzi nimi

Všeobecné

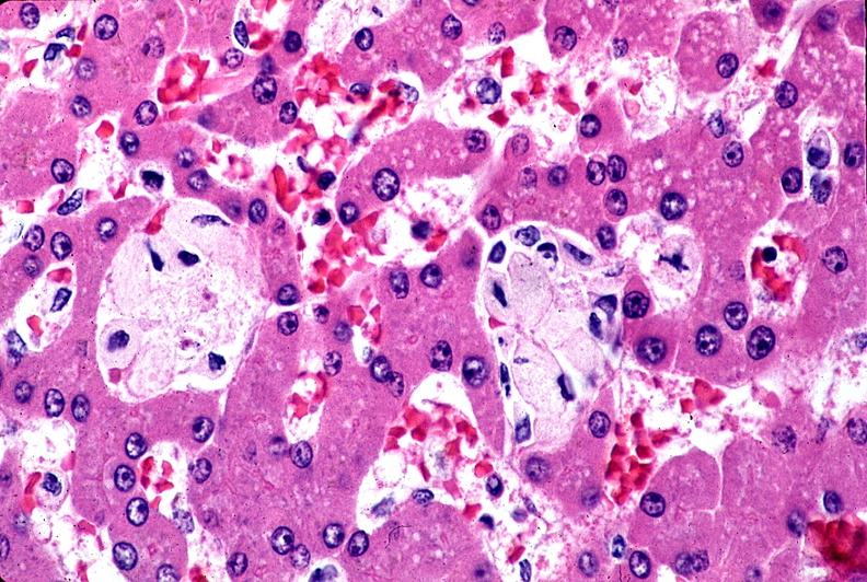
Gaucherova choroba (anglicky Gaucher's disease) je najčastejšou chorobou zo skupiny "netradičných" ochorení. Má tri typy (1, 2, 3) a dve formy. Dedí sa autozomálne recesívne, najviac rozšírená je u židov. Príčinou tohto dedičného ochorenia je znížená aktivita alebo deficit enzýmu beta-glukocerebrozidázy, ktorý je zodpovedný za štiepenie glukozylceramidu z rozpadajúcich sa bunkových membrán. Túto nerozštiepenú látku nevie ľudský organizmus spracovať. Preto ju hromadí v rôznych tkanivách a to predovšetkým v pečeni, slezine a kostnej dreni, zriedkavo aj v nervovom systéme, vrátane mozgu. Túto chorobu prvýkrát opísal francúzsky lekár Phillipe Gaucher v roku 1882. Ochorenie postihuje celosvetovo približne 30 000 ľudí. 

Liečba:

Bez liečby dochádza k nezvratným poškodeniam postihnutých tkanív a skorej úmrtnosti. Liečenie spočíva v intravenóznom dodávaní upravenej formy enzýmu glukocerebrozidázy. Táto enzýmová terapia môže zastaviť a často zvrátiť príznaky ochorenia a vedie k zvýšeniu kvality života chorých. Ďalej je nutná terapia pridružených komplikácií. 

  • zlyhanie kostnej drene
  • anémia - znížené množstvo krvného farbiva
  • únava aslabosť
  • bledosť kože a slizníc
  • leukopénia - znížené množstvo bielych krviniek
  • častejšie infekčné choroby
  • trombocytopénia - znížené množstvo krvných doštičiek
  • prejavy krvácania do kože a podkožia
  • početné kožné hematómy, prekrvením očí a petechie
  • u všetkých ľudí so syndrómom splenomegália - zväčšenie sleziny
  • niekedy tiež hepatomegália - zväčšenie pečene
  • postihnutie nervovej sústavy
  • rozvoj demencie
  • pozastavenie psychomotorického vývoja u detí
  • poruchy zraku, škúlenie očí
  • poruchy hybnosti
  • bolesti dlhých kostí

Pre spojenie sa s ďalšími ľuďmi s rovnakou diagnózou vo vašom okolí sa prihláste.

Prihlásenie

Chcete vidieť viac?

To access all content, you need to log in or sign up in the Socialeasator app.