Späť na diagnózy

Dandy-Walker syndróm

Find a cause you want to help. Every contribution counts.

Muž a žena šťastne volajú na svojich notebookoch srdiečka medzi nimi

Všeobecné

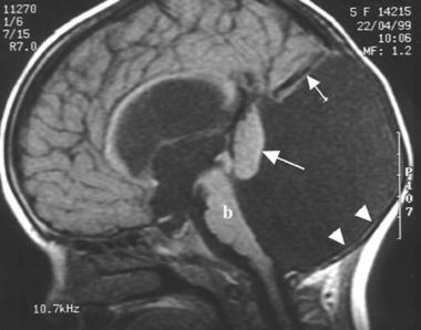
Dandy-Walkerov syndróm (anglicky Dandy-Walker syndrome, Dandy-Walker malformation, DWS) je zriedkavé vrodené neurologické ochorenie mozgu. Príčinou tohto ochorenia je tzv. Dandy-Walkerova malformácia, ktorá spočíva v aplázii (nevyvininutí) vermis, t.j. špecifickej časti mozočku, a vo vzniku veľkej cysty v zadnej jame lebečnej, ktorá je široko otvorená do IV. komory.

Následkom tejto vrodenej zmeny tkaniva mozočku je membranózna atrézia (nepriechodnosť) otvorov IV. komory mozgovej, čím dochádza k patologickému hromadeniu mozgomiešneho moku v mozgových komorách.

Liečba

Liečba spočíva v odstránení obštrukcie pri neurochirurgickom zákroku, pridružený hydrocefalus sa rieši najčastejšie zavedením shuntu.

  • typicky aplázia vermis cerebelli (vrodené nevyvinutie strednej nepárovej červovitej časti mozočku)
  • cysta v zadnej jame lebečnej, ktorá komunikuje so IV. mozgovou komorou
  • veľmi priestranná zadná jama lebečná
  • u 90% detí rozvoj hydrocefalu - patologicky zvýšené množstvo mozgovomiechového moku v centrálnom nervovom systéme
  • rastúci obvod hlavy (makrocefália)
  • napätá veľká fontanela ( "mäkký vrcholok hlavičky")
  • rozostup lebečných švov
  • tenšia koža na hlave
  • vracanie, dávenie
  • deviácie očnej gule smerom nadol (tzv. príznak zapadajúceho slnka - anglicky setting-sun sign)
  • niekedy až porucha vedomia
  • poruchy dýchania
  • až polovica postihnutých má zníženú inteligenciu

Pre spojenie sa s ďalšími ľuďmi s rovnakou diagnózou vo vašom okolí sa prihláste.

Prihlásenie

Chcete vidieť viac?

To access all content, you need to log in or sign up in the Socialeasator app.